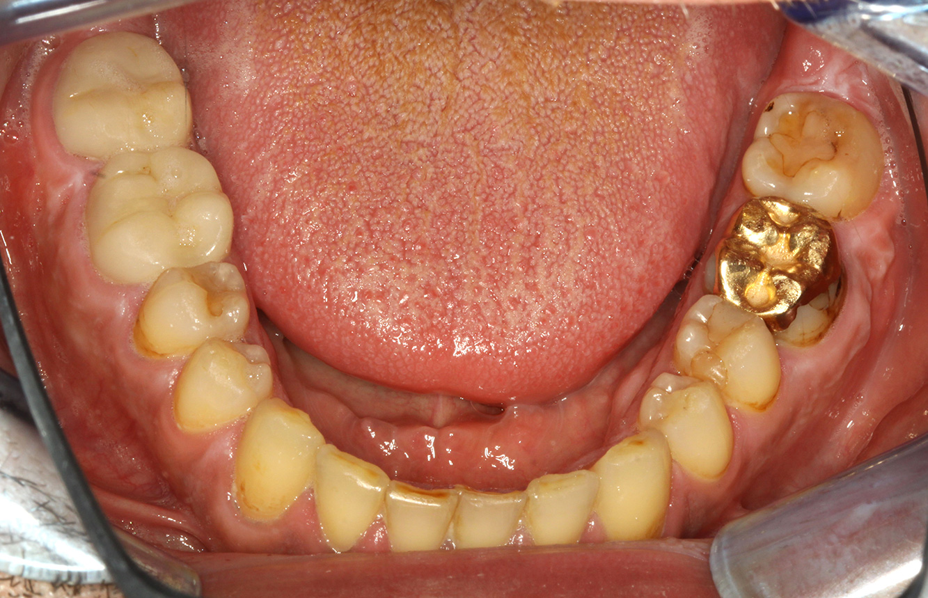
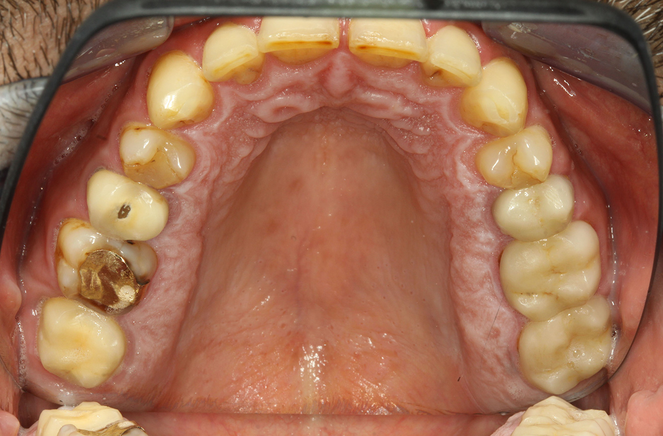
Il paziente con endocardite con lesioni carie attive*


Il paziente ha 39 anni e in passato è stato sottoposto ad un intervento per la sostituzione della valvola aortica dovuta a insufficienza valvolare ed endocardite. Assume regolarmente l'ASS 100 come anticoagulante. Per quel che riguarda lo stile di vita, il regime alimentare seguito dal paziente è classificato come “dieta che favorisce la formazione della carie”, per via del consumo regolare di cibi ad alto contenuto di zuccheri e dei sei-sette pasti consumati al giorno. La salute orale del paziente indica un rischio moderato di carie, con lesioni attive. Il rischio di parodontite è basso, tuttavia il paziente è affetto da gengivite. Si formulano quindi i seguenti consigli per il trattamento di profilassi.



La sostituzione della valvola cardiaca e l'anamnesi di endocardite indicano un rischio aumentato di complicazioni. Al fine di ridurre il rischio di una nuova infiammazione, si deve consigliare una profilassi antibiotica (ad es. 2 g di amoxicillina un'ora prima della seduta). Nonostante la cura a lungo termine con un anticoagulante, non ci si aspetta un rischio aumentato di sanguinamento durante la seduta di profilassi.

Bisogna dedicare tempo a sufficienza per il colloquio istruttivo/emozionale. Bisogna spiegare molto chiaramente al paziente l'impatto negativo delle sue abitudini alimentari sulla sua salute orale (9). Per quanto riguarda invece l'anamnesi di endocardite, si potrebbero analizzare anche i nessi tra batteri cariogeni e le malattie cardiovascolari (12). Questo argomento potrebbe motivare ulteriormente il paziente a cambiare il proprio regime alimentare. Durante il colloquio bisogna far comprendere al paziente quanto è importante seguire una corretta igiene orale a casa e motivarlo in tal senso.

Per la seduta di profilassi non si possono formulare consigli per strumenti specifici. Si può ricorrere a un'applicazione mirata di air-polishing e lucidatura con testina rotante per rimuovere delicatamente placca e discromie lungo i margini del restauro e per ridurre le nicchie dove i batteri cariogeni possono formare nuove colonie (19).

Si consiglia una fluorizzazione per stimolare ulteriormente la prevenzione della carie, prevenire in particolar modo nuove formazioni intorno ai margini del restauro e per sigillare le superfici radicolari. Entrambi i provvedimenti possono ridurre la sensibilità dei denti alla temperatura.

A causa delle lesioni cariose attive e del rischio ad esse associato di progressione, si consiglia un intervallo di richiamo ravvicinato di tre-quattro mesi.
* per gentile concessione di Dr. G. Schmalz e Prof. Dr. D. Ziebolz MSc.
Individual Prophy Cycle – Il concetto di prevenzione orientato al paziente

Priv-Doz Il dottor Gerhard Schmalz è un medico senior presso il Policlinico per la conservazione dei denti e la parodontologia, Ospedale universitario di Lipsia, Lipsia (Direttore: Prof Dr Rainer Haak).

Il Prof Dr Dirk Ziebolz MSc è un medico senior presso il Policlinico per la conservazione dei denti e la parodontologia, Centro medico dell'Università di Lipsia (Direttore: Prof Dr R. Haak); con particolare attenzione alla conservazione interdisciplinare dei denti e alla ricerca sui servizi sanitari.
List of references
- Chapple IL, Bouchard P, Cagetti MG, Campus G, Carra MC, Cocco F, et al. Interaction of lifestyle, behaviour or systemic diseases with dental caries and periodontal diseases: consensus report of group 2 of the joint EFP/ORCA workshop on the boundaries between caries and periodontal diseases. J Clin Periodontol. 2017;44 Suppl 18:S39-s51
- Schmalz G, Ziebolz D, Individualisierte Prävention-ein patientenorientiertes Präventionskonzept für die zahnärztliche Praxis, ZWR- Das deutsche Zahnärzteblatt 2020;129;147-156
- Fresmann S., So sieht eine durchdachtes Prophylaxekonzept aus; Dental Magazin: Deutscher Ärzteverlag GmbH; 2015
- Schmalz G, Ziebolz D, Individualisierte Prävention-fallorientierte Bedarfsprävention, ZWR- Das deutsche Zahnärzteblatt 2020;129;33-41
- Schmalz G, Ziebolz D, Individualisierte Prävention-Implikation allgemeingesundheitlicher Faktoren, ZWR- Das deutsche Zahnärzteblatt 2019;128;295-304
- Wang C, Zhao Y, Zheng S, Xue J, Zhou J, Tang Y, et al. Effect of enamel morphology on nanoscale adhesion forces of streptococcal bacteria: An AFM study. Scanning. 2015;37(5):313-21
- Pence SD, Chambers DA, van Tets IG, Wolf RC, Pfeiffer DC. Repetitive coronal polishing yields minimal enamel loss. Journal of dental hygiene: JDH. 2011;85(4):348-57.
- Kumar PS. From focal sepsis to periodontal medicine: a century of exploring the role of the oral microbiome in systemic disease. The Journal of Physiology. 2017;595(2):465-76
- Lalla E, Papapanou PN. Diabetes mellitus and periodontitis: a tale of two common interrelated diseases. Nature Reviews Endocrinology. 2011;7:738
- Miller WR, Moyers TB. Eight Stages in Learning Motivational Interviewing. Journal of Teaching in the Addictions. 2006;5(1):3-17
- Paradigmenwechsel im Biofilmmanagement [Internet]. Spitta GmbH. 2014. https://www.pnc-aktuell.de/prophylaxe/story/paradigmenwechsel-im-biofilmmanagement__3512.html
- Christensen RP, Bangerter VW. Determination of rpm, time, and load used in oral prophylaxis polishing in vivo. J Dent Res. 1984; 63(12):1376-1382
- Graumann SJ, Sensat ML, Stoltenberg JL. Air polishing: a review of current literature. Journal of dental hygiene : JDH. 2013;87(4):173-80
- Bordoloi P, Ramesh A, Thomas B, Bhandary R. Epidemiological survey of dentinal hypersensitivity after oral prophylaxis. J Cont Med A Dent. 2018;6(1)
- James P, Worthington HV, Parnell C, Harding M, Lamont T, Cheung A, et al. Chlorhexidine mouthrinse as an adjunctive treatment for gingival health. The Cochrane database of systematic reviews. 2017;3:Cd008676
- Sawai MA, Bhardwaj A, Jafri Z, Sultan N, Daing A. Tooth polishing: The current status. Journal of Indian Society of Periodontology. 2015;19(4):375-80
- Slayton RL, Urquhart O, Araujo MWB, Fontana M, Guzman-Armstrong S, Nascimento MM, et al. Evidence-based clinical practice guideline on nonrestorative treatments for carious lesions: A report from the American Dental Association. J Am Dent Assoc. 2018;149(10):837-49 e19
- Gleissner E. Erfolgreiche Prävention auch in schwierigen Fällen. Allgemeine Zahnheilkunde: ZMK-aktuell; 2019
- Derks J, Schaller D, Hakansson J, Wennstrom JL, Tomasi C, Berglundh T. Effectiveness of Implant Therapy Analyzed in a Swedish Population: Prevalence of Peri-implantitis. Journal of dental research 2016;95:43-49
- Newton JT, Asimakopoulou K. Managing oral hygiene as a risk factor for periodontal disease: a systematic review of psychological approaches to behaviour change for improved plaque control in periodontal management. Journal of Clinical Periodontology 2015;42:S36-S46
- Veitz-Keenan A, James R, Implant outcomes poorer in patients with history of periodontal disease, Evicénce-Based-Dentistry 18, 5 (2017)
Commenti